Аденома гипофиза. Как обнаружить вовремя и всегда ли нужна операция?
Гипофиз — маленькая железа, которая расположена в голове и управляет огромным количеством функций организма. Природа надежно защитила его от внешнего воздействия, но осталась бессильна перед внутренними изменениями. Слепота, бесплодие, нарушения в половой сфере, выпадение волос, неприятные изменения внешности — это далеко не всегда последствия хронических болезней или негативного влияния извне. Подобные проблемы нередко вызывает аденома гипофиза.
Что это такое? Каковы первые «звоночки»? Как диагностировать болезнь и как лечить? На эти и другие вопросы отвечает кандидат медицинских наук, доцент кафедры неврологии и нейрохирургии БелМАПО, нейрохирург высшей квалификационной категории медицинского центра «Томография» Владимир Журавлев.

кандидат медицинских наук, доцент, врач-нейрохирург
высшей квалификационной категории медицинского центра «Томография»
— Что из себя представляет гипофиз?
— Гипофиз — это самая удивительная железа внутренней секреции в нашем организме. По размеру и форме она напоминает фасолину, около 15 мм. Спрятан гипофиз в самом защищенном месте головы, в центре основания черепа, в изолированном костном ложе — турецком седле.
— Каковы его функции?
— Эта маленькая «фасолина» выделяет гормоны, которые управляют всеми эндокринными железами нашего организма. В зоне его ответственности обмен веществ в организме, формирование скелета и мышечной массы, рост, репродуктивная функция. Кроме того, управляя надпочечниками, гипофиз обеспечивает адекватную реакцию организма на все внешние воздействия — сопротивляемость стрессу. На самом деле функций у гипофиза значительно больше и все они различны в зависимости от возрастного и физиологического периодов жизни.
В детстве на первый план выходит соматотропная функция. С латинского это слово переводится как «построение тела». Здесь имеется в виду рост, увеличение мышечной массы и другие неотъемлемые изменения организма, связанные с этим процессом.

В подростковом периоде происходит гормональная перестройка, называемая пубертатным периодом. Развиваются вторичные половые признаки. В этот период особо важную роль играют гонадотропные гормоны гипофиза, регулирующие функцию половых желез ребенка. Так формируются тип телосложения, особенности отложения жировой ткани, оволосение и многие другие особенности нашего организма.
Это формирование завершается способностью организма вырабатывать здоровые половые клетки или, иными словами, способностью продолжать род.
В общем, у железы очень много задач. Сбой в ее функционировании вызывает серьезные проблемы. Просто представьте, что сломался процессор, отвечающий за работу всей компьютерной системы.
— По каким признакам можно понять, что появились проблемы с гипофизом?
— Первые «звоночки» может увидеть педиатр или терапевт.
В детском возрасте ребенок может перестать расти. Остановка в росте, особенно на фоне развития других проблем — например, ожирения, артериальной гипертензии, не свойственной возрасту, и т.д. Эти симптомы могут указывать на нарушение регуляции работы эндокринной системы.
Во взрослом возрасте это может проявляться в изменении телосложения и внешности человека, например:
- меняются, укрупняются черты лица, пальцы и кисти рук, стопы, язык. Данные проявления являются симптомами акромегалии;
- лицо становится «лунообразным», руки и ноги — очень худыми, а жир перераспределяется на туловище: на живот и грудь. Симптоматика характерна для болезни Иценко-Кушинга;
- появляются сухость и истончение кожи, очень легко образуются синяки.
- повышается артериальное давление.
В возрастном периоде старше 60 лет клиническая картина опухолей гипофиза менее яркая, и заподозрить болезнь становится труднее.

Дело в том, что одним из первых симптомов у молодых людей являются нарушения половой функции. У женщины же, например, нарушается менструальный цикл. В таких случаях она, как правило, не затягивает и своевременно обращается за консультацией к врачу. Если у мужчины снижается либидо, то далеко не каждый сразу идет с жалобами на снижение половой функции к специалисту.
При проблемах с зачатием также чаще всего в первую очередь обследуется женщина. Хотя проблема может быть в мужском бесплодии из-за дисфункции гипофиза.
— Что такое аденома гипофиза?
Доброкачественная аденома гипофиза — это целая группа опухолей, различных по своей природе, симптомам, течению заболевания и прогнозам. Аденомы гипофиза занимают третье место по частоте встречаемости среди всех внутричерепных опухолей.
Их можно условно разделить на две группы:
- гормональнонеактивные (несекретирующие гормоны);
- гормональноактивные (продуцирующие избыточное количество гормонов гипофиза).
По размерам выделяют:
- микроаденомы (до 10 мм);
- макроаденомы (более 10 мм).
Основные типы гормональноактивных аденом гипофиза, в зависимости от того, какой гормон продуцирует аденома, следующие:
- пролактиномы — секретирующие гормон пролактин;
- соматотропиномы — продуцирующие соматотропный гормон. Заболевание называется акромегалия;
- тиреотропиномы — секретируют тиреотропный гормон. Он способствует повышению функции щитовидной железы. Название патологии — тиреотоксикоз;
- аденокортикотропиномы — продуцируют адренокортикотропный гормон, который стимулирует надпочечники. Вызывает болезнь Кушинга.
Также существуют аденомы гипофиза, провоцирующие сразу несколько гормонов.
Чаще всего встречаются аденомы гормональнонеактивные, которые не продуцируют гормоны, и пролактиномы — вырабатывающие гормон пролактин. На их долю приходится примерно по 40%.
— Каковы клинические проявления аденомы гипофиза?
— К сожалению, аденомы гипофиза не имеют присущих именно им характерных симптомов. Поэтому диагностировать их достаточно непросто.
Симптомы могут быть следующими:
- головная боль;
- общая слабость, снижение артериального давления;
- ухудшение зрения, выпадение полей зрения, снижение остроты;
- изменения внешности, не связанные с пищевым поведением.
Клиническая картина гормональноактивных опухолей гипофиза различается в зависимости от гиперсекреции конкретного гормона.
Пролактиномы — наиболее часто встречающиеся гормональноактивные аденомы гипофиза. Проявляются по-разному, в зависимости от возраста и пола пациента:
- у женщин имеются нарушения менструального цикла и связанное с этим бесплодие;
- у мужчин и женщин снижается либидо, потенция, отмечается бесплодие;
- увеличение молочных желез, галакторея (самопроизвольное истечение молока из молочных желез вне связи с процессом кормления ребенка).
— По каким причинам возникает такая опухоль?
— Вопрос до конца не изучен. Существует теория, что дело в «поломке» определенных генов. Почему происходит эта «поломка», ученым до конца неизвестно.

— Какой врач может диагностировать аденому?
— Из-за многообразия симптомов пациент может обращаться к врачам десятка специальностей. Последовательность диагностики зависит от профиля специалиста, к которому обратился пациент.
Если заболевание дебютирует в детском возрасте, с первыми жалобами (низкорослость) столкнутся педиатры.
Гипофиз является органом, регулирующим функцию эндокринной системы. И потому наиболее вероятно, что взрослый пациент сперва обратится к эндокринологу. А нарушения менструальной функции приведут женщину к врачу-гинекологу.
Подтверждением диагноза являются:
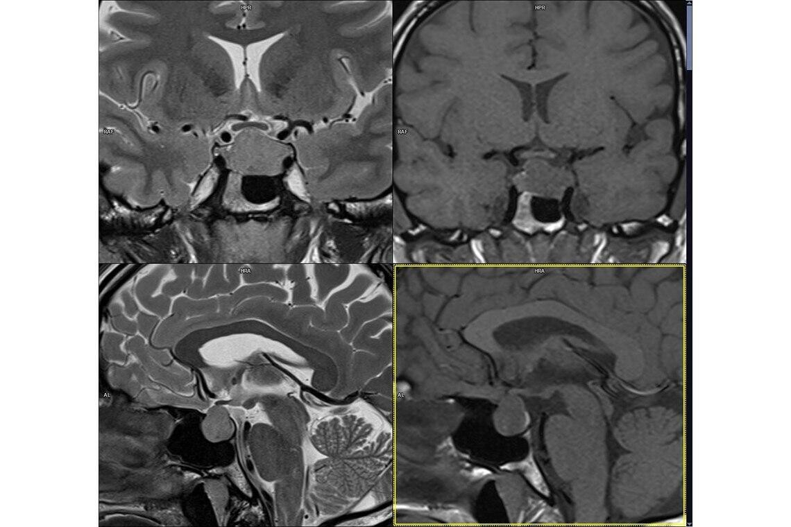
- МРТ головного мозга и гипофиза;
- лабораторная диагностика (исследование гормонов гипофиза и периферических эндокринных желез);
- консультация эндокринолога для определения функционального состояния эндокринной системы и гормональной активности аденомы;
- осмотр офтальмолога (исследование остроты и полей зрения).
В лечении аденом гипофиза также принимает участие несколько врачей:
- нейрохирург;
- эндокринолог;
- офтальмолог;
- и, возможно, врачи других специальностей, например: гинекологи, онкологи, радиологи.
— Какое возможно лечение?
В качестве методов лечения используются следующие:
1. Хирургическое удаление опухоли.
В настоящий момент самым современным и эффективным является транссфеноидальный эндоскопический метод удаления опухоли (удаление осуществляется через нос).
2. Лучевое лечение.
Назначается, когда:
- проведение операции невозможно. Например, при наличии абсолютных противопоказаний из-за болезней сердца, почек и др.);
- операцию невозможно выполнить по техническим причинам (расположение опухоли и ее распространение в сосудисто-нервные структуры не позволит удалить опухоль полностью);
- проведенная ранее операция оказалась неэффективной (нет достижения гормональной компенсации после удаления опухоли).
В качестве вариантов лечения используют так называемые стереотаксические методы, когда излучение подается непосредственно на опухоль, с максимально точной фокусировкой, с минимальным воздействием на окружающие ткани. В нашей стране существуют такие методы лечения:
- радиохирургия (когда вся доза лучевого воздействия подается за один сеанс);
- радиотерапия (когда лечение разбито на несколько сеансов). Радиохирургическое лечение проводится с помощью специальной установки, которая называется «Гамма-нож».

3. Медикаментозная терапия.
Применяется при пролактиномах. Такой метод лечения позволяет контролировать до 90% всех пролактином. Есть лекарственные средства, применяемые при других аденомах, но их назначение проводится индивидуально в каждом случае консилиумом нескольких специалистов.
Представляют потенциальную опасность и нуждаются в лечении:
- гормональноактивные аденомы гипофиза;
- аденомы гипофиза, размеры которых превышают размеры того места, из которого они исходят, то есть эти опухоли распространяются на смежные отделы мозга. Они начинают сдавливать зрительные нервы (они проходят рядом). В таком случае падает зрение, что может привести к слепоте.
Гормональнонеактивные аденомы маленьких размеров (до 10 мм), выявленные случайно, чаще всего — на МРТ при обследовании по какому-либо другому поводу. Их называют «случайные находки». Для них даже имеется специальный термин — инциденталома. Такие опухоли, как правило, не растут в течение жизни, не имеют никаких симптомов и нуждаются только в динамическом наблюдении.
В принятии решения по выбору метода лечения аденомы гипофиза используется мультидисциплинарный подход (участие врачей различных специальностей).
Прогнозы по лечению аденомы гипофиза нужно давать индивидуально в каждом конкретном случае.
— Есть ли возможность родить ребенка при пролактиноме?
— Очень важный момент. Нельзя путать ситуацию, которая называется «гиперпролактинемия», с пролактиномой.
При гиперпролактинемии в крови много гормона пролактина, но причиной этому аденома гипофиза не является.
Как уже было сказано ранее, пролактинома — это гормональноактивная аденома гипофиза, которая секретирует избыток гормона пролактина. Отличить эти состояния может врач-эндокринолог. Как и назначить адекватное лечение.
Самым информативным способом для выявления опухолей является МРТ. А вот прогноз по восстановлению фертильности в таких случаях различный.
Основной симптом при пролактиноме — аменорея (отсутствие менструаций) и бесплодие.
При проведении лечения агонистами дофамина опухоль уменьшается в размерах и восстанавливается нормальная гормональная секреция.
Таким образом, в ряде случаев возможно восстановление фертильности (способности забеременеть и родить). Но, к сожалению, такое происходит не всегда, так как регуляция деятельности эндокринных желез очень сложная.
— Что будет, если аденому гипофиза не лечить?
— Как я уже говорил, некоторые виды аденомы вовсе не требуют лечения. У каждого четвертого человека на Земле гипофиз имеет внутри себя какую-либо особенность (кисты, уплотнения, рубцы, зоны атрофии или или гиперплазии, микроаденомы без гормональной активности и др.). Но далеко не всегда здоровье в этом случае находится под угрозой. Бывает, что гормональнонеактивная аденома просто присутствует, но никакого влияния на организм не оказывает. В таких случаях необходимо проводить периодическое наблюдение.

Требуют лечения:
- Гормональноактивные аденомы гипофиза, которые вызывают гормональные нарушения и неуклонно прогрессируют. Потому отсутствие своевременного лечения может привести к развитию тяжелых, иногда летальных осложнений. Например, при акромегалии из-за нарушений работы сердца может развиться инфаркт миокарда или инсульт.
- Гормональнонеактивные макроаденомы, которые при увеличении размеров могут сдавливать зрительные нервы, что может приводить к развитию слепоты. К сожалению, такая утрата зрения безвозвратна. Сдавление других отделов мозга может приводить к смещению мозга внутри черепа и развитию кровоизлияний или инсульта.
Кстати
Бывают опухоли с крайне агрессивным ростом. Их нужно лечить быстро, по возможности использовать метод полного хирургического удаления в сочетании с лучевым лечением.
— Какие виды операций применяются для удаления аденом гипофиза?
— Возможны два вида оперативного вмешательства:
- традиционная краниотомия — трепанация черепа и удаление опухоли с использованием операционного микроскопа. Этот метод используется все реже, в основном при распространении опухоли и невозможности провести операцию через нос;
- транссфеноидальное эндоскопическое удаление. Современный малоинвазивный метод, при котором операция проводится через нос. Около 95% аденом гипофиза сегодня удаляются именно так. На сегодняшний день этот метод в мире является самым эффективным, безопасным, сокращает время операции и облегчает последующее восстановление.

— Операции выполняются под общим наркозом?
— В обязательном порядке.
— Бывают ли ситуации, когда операции противопоказаны?
— Да, противопоказания для операций имеются. Среди них:
- инфекционные заболевания, находящиеся в активной фазе. Например, грипп или ОРВИ также заставляют врачей отложить операцию;
- нарушение свертываемости крови;
- некомпенсированные проблемы сердечно-сосудистой системы и других внутренних органов, требующие коррекции.
— Долго ли проходит реабилитация после операции?
— В среднем она длится месяц. Около недели после операции пациент находится в больнице. Потом отправляется домой, но посещает эндокринолога, невролога. А также, если необходимо, офтальмолога и других специалистов.
Как правило, после операции пациенты продолжают вести прежний образ жизни. Возвращаются к труду и привычным занятиям.

— Существует ли профилактика аденомы гипофиза?
— Относительно данной проблемы лучшая профилактика — это самоконтроль. Не стоит пренебрегать положенными по возрасту обследованиями. Регулярно контролируйте уровень сахара в крови, артериальное давление, следите за массой тела. Своевременно проходите медосмотры. Если чувствуете недомогание, не тяните, обращайтесь к врачу. Любая проблема быстрее и легче решается на ранних этапах.
Будьте здоровы!
Фото: Дмитрий Рыщук
